Orthodontie adulte

background

De nombreux adultes choisissent de corriger leurs dents pour l’esthétique, le confort ou la santé. Il n’est jamais trop tard pour améliorer son sourire.

Les techniques actuelles proposent des solutions discrètes et adaptées à la vie active : aligneurs invisibles, appareils esthétiques ou orthodontie linguale. Ces dispositifs répondent aux attentes d’efficacité et de discrétion.

Au-delà de l’aspect esthétique, l’orthodontie adulte améliore l’hygiène, prévient caries et troubles articulaires, et renforce la confiance au quotidien.

Cas cliniques

Laissez-vous inspirer par les sourires métamorphosés de nos patients. Parcourez nos résultats avant/après pour apprécier l’effet concret de nos traitements sur leur sourire !

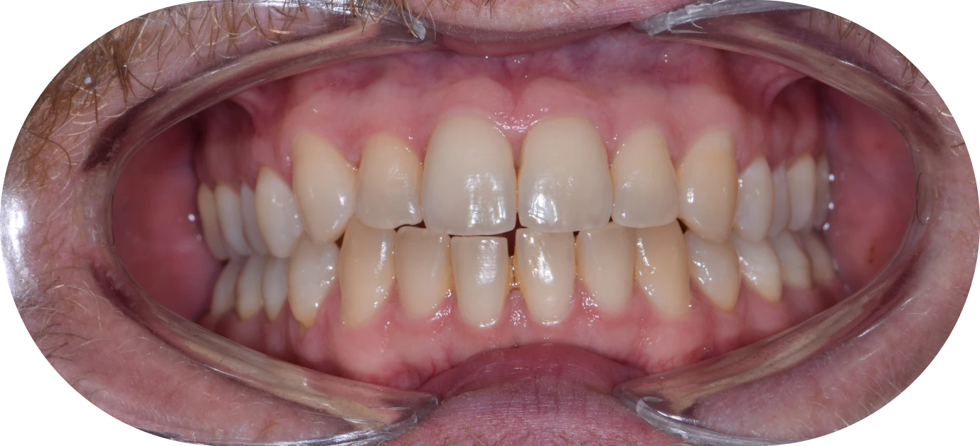
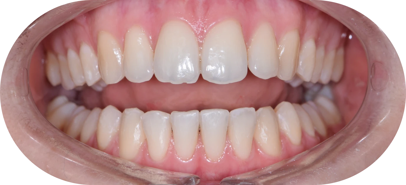
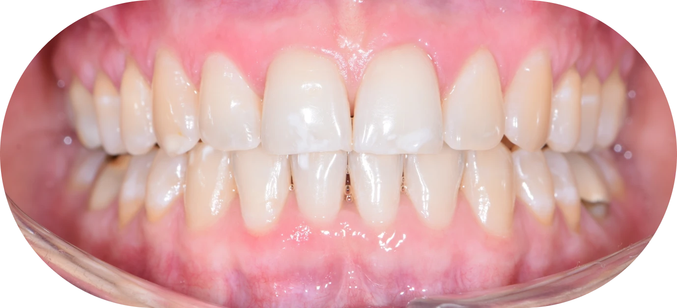
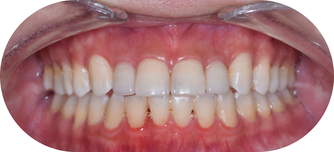
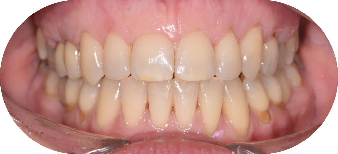
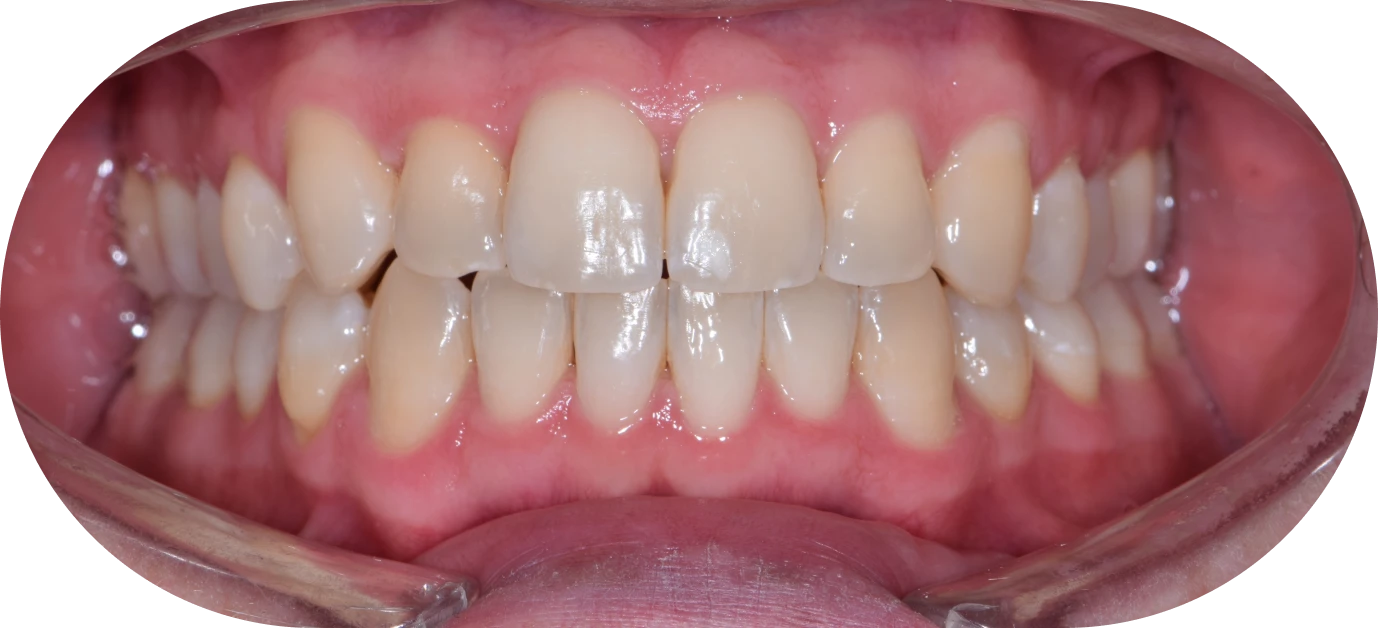
Before After

Diastèmes multiples traité par aligneurs

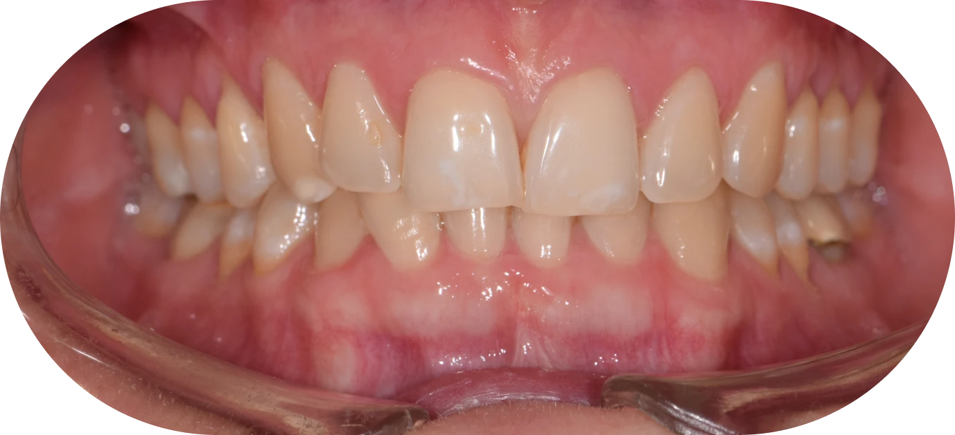
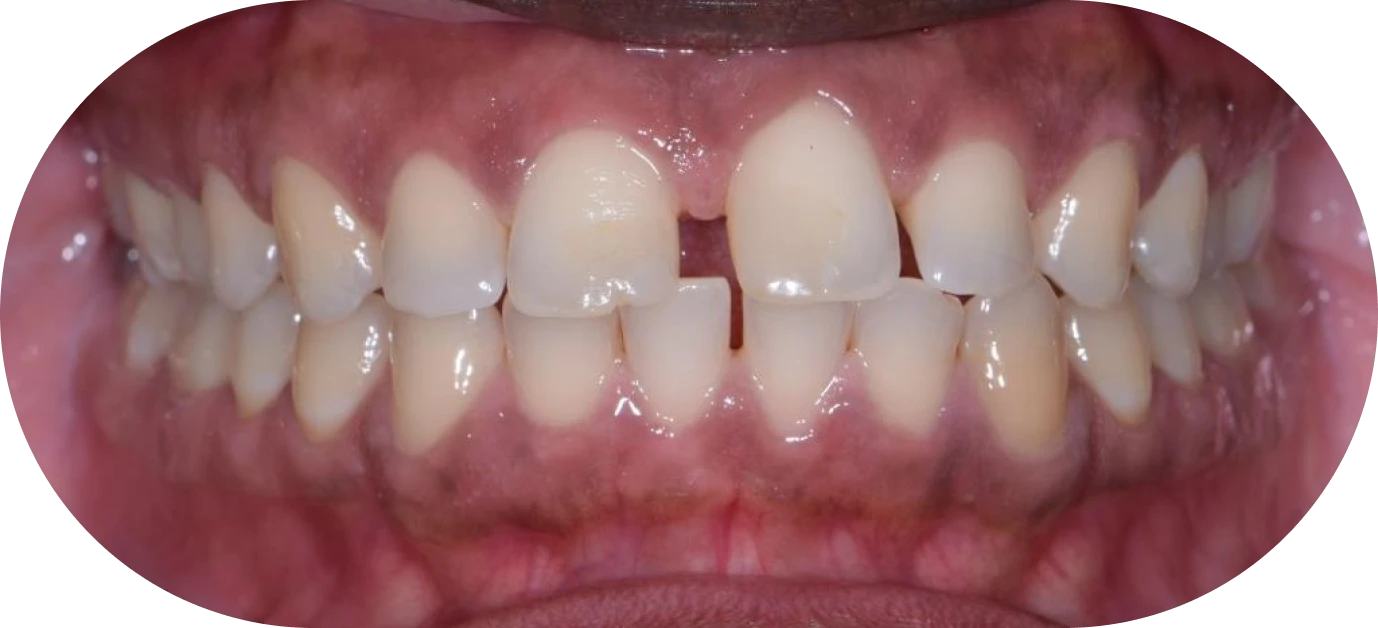
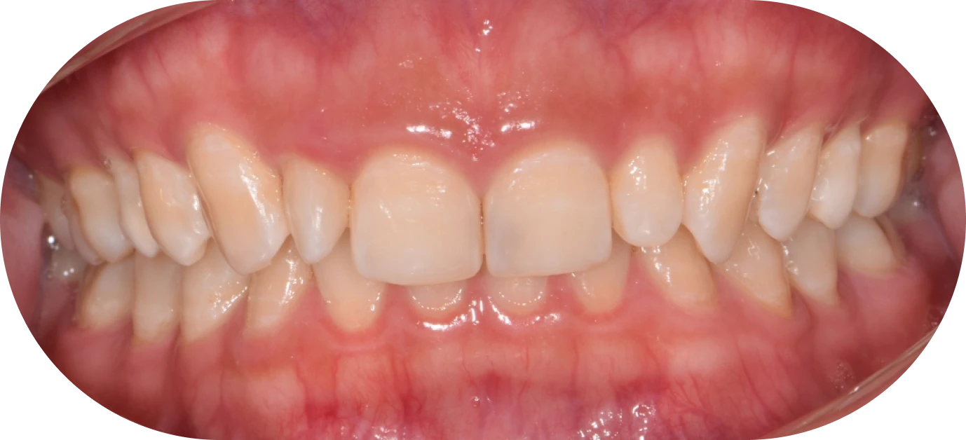
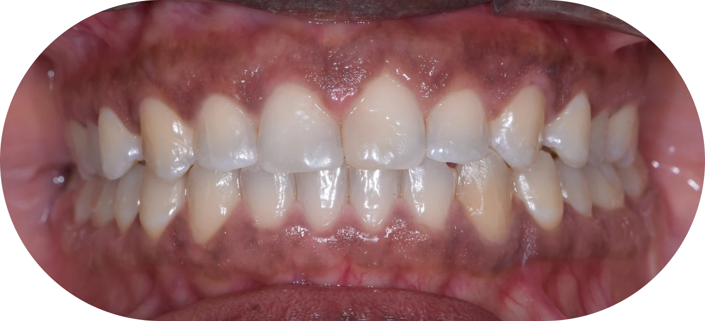
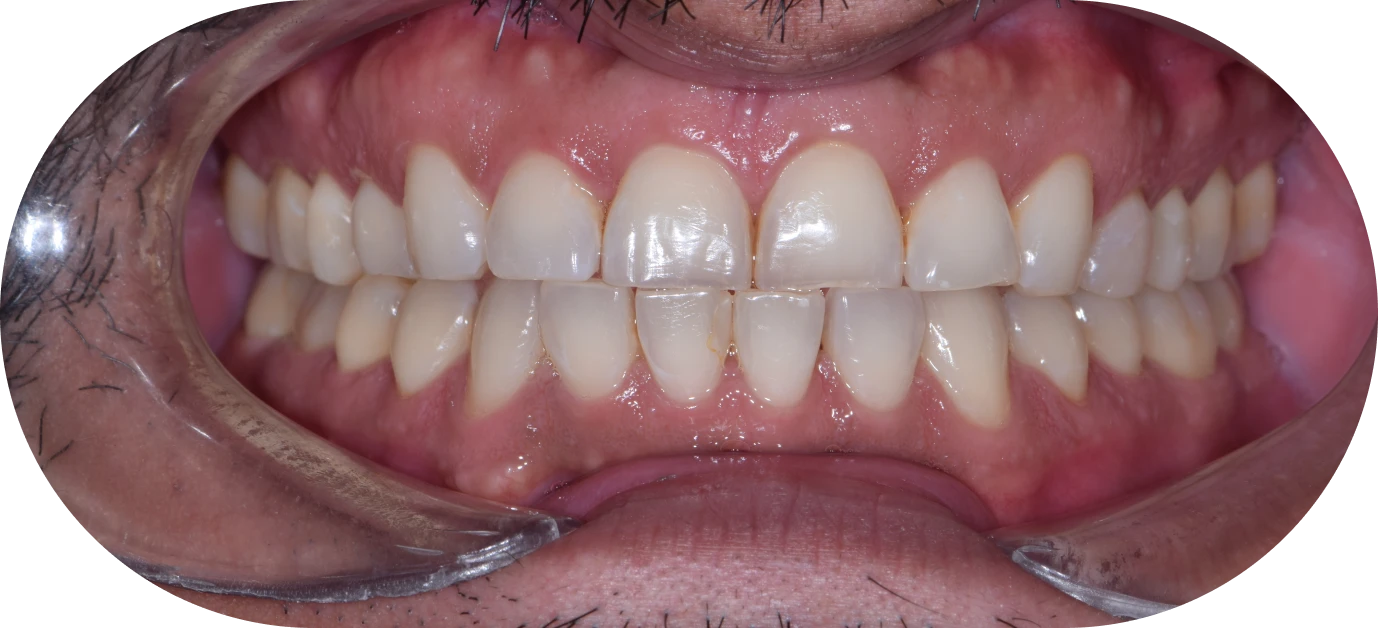
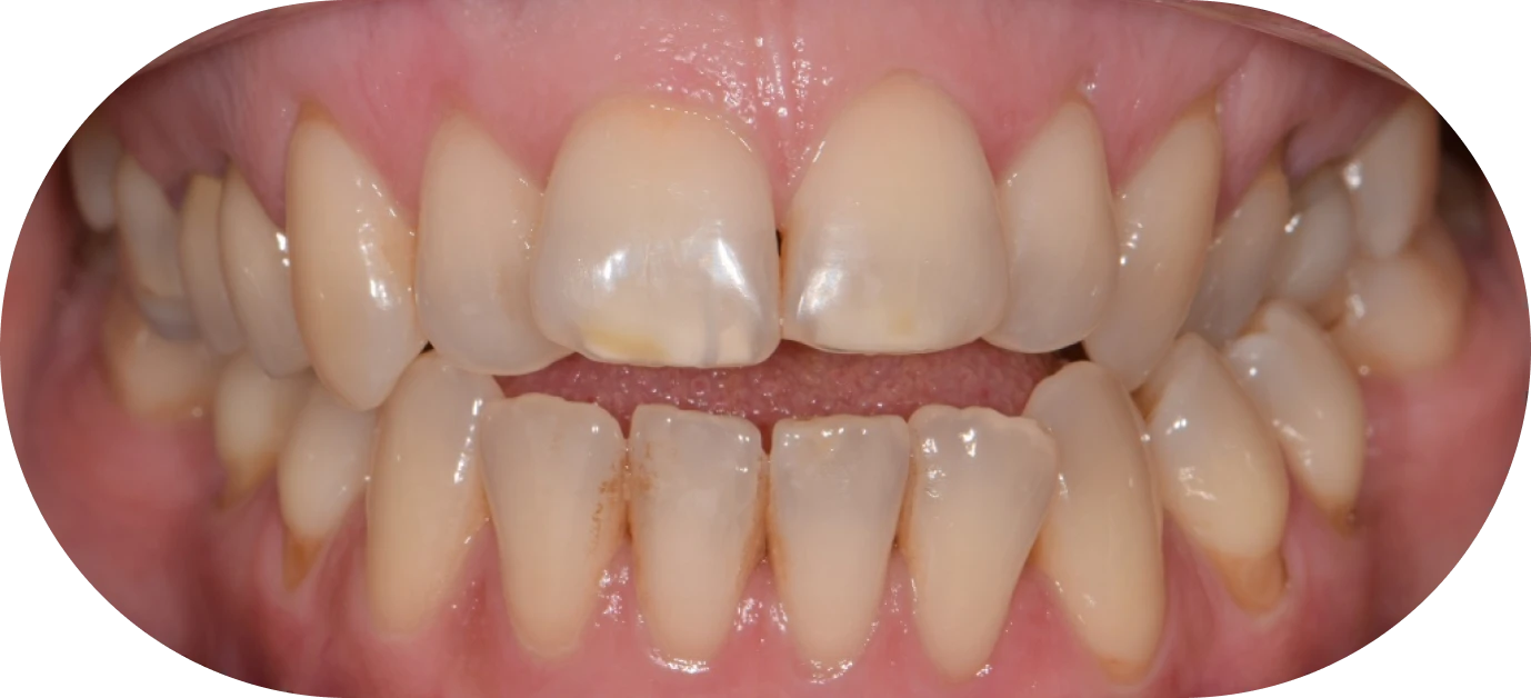
Before After

Récidive de malpositions des incisives inférieures, traité par aligneurs

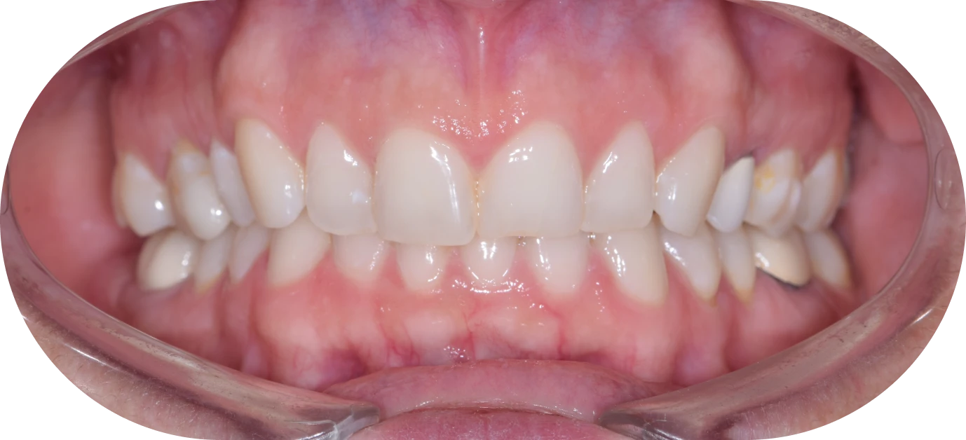
Before After

Classe II traitée dans l’enfance par extractions de prémolaires et rétroalvéolie, traitée avec aligneurs et chirurgie

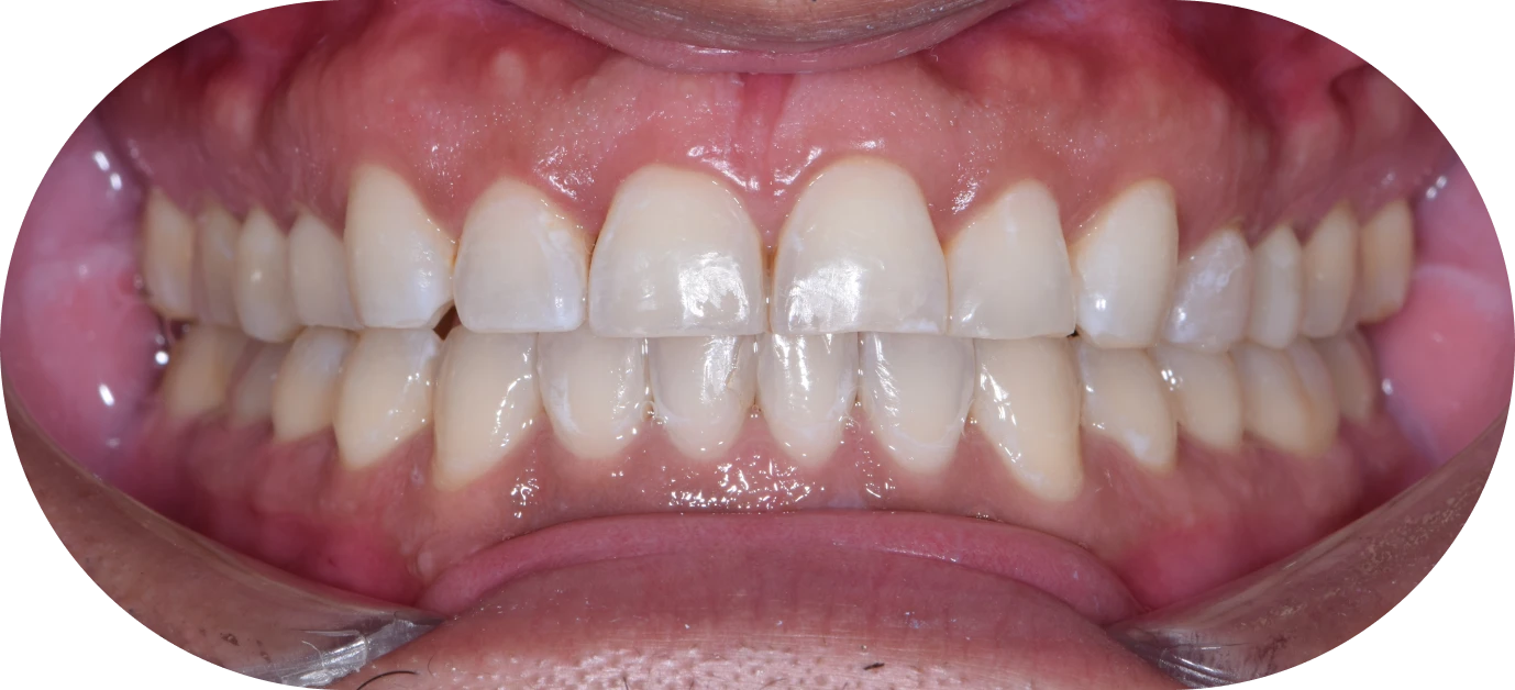
Before After

Récidive d’encombrement traitée en technique linguale

Before After

Bout à bout incisif traité par aligneurs

Before After

Récidive de malpositions des incisives inférieures , traité par technique multi-attaches

Before After

Béance, occlusion croisée gauche traitée en technique multi-attache associée à une génioplastie

Before After

Classe II rétro-alvéolie supérieure et microdontie des incisives latérales, traité en technique muti-attaches, chirurgie et facettes